• Про мене
  • Навчання
  • Фотогалерея
  • Відеогалерея
  • Порногалерея
  • Пам'ятка пацієнтові
  • Відгуки
  • Global Tour Ukraine
  • Оплата послуг
  • Контакти
  • Бронювання
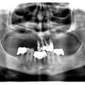
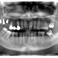
Імплантація 16,17,18 без врахування жодних правил оклюзії та знань в імплантології
Руйнування зубів - результат тривалого користування бюгельними знімними протезами
Лікування карієсу дистопованого 48 зуба не є вирішенням даної патології. Дистопія зуба мудрості провокує виникнення карієсу 47 зуба. Даний зуб має бути видалений
Остеосинтез титановими пластинами і реберними аутотрансплантатами після повної резекції нижньої щелепи внаслідок злоякісної пухлини
Пацієнтка А. (10 років). Первинна адентія внаслідок вродженої ектодермальної дисплазії
Відсутність адекватного лікування, як наслідок - 14,15 зуби приймають участь в акті дихання
Патологія прорізування зубів. Екструзія дистопії 23,24 ортодонтичним способом
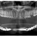
Залізна людина )))
Неправильне зубне протезування - заклали зуби )))
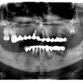
Максимальна атрофія щелеп - результат тривалого користування знімними протезами
Міграція 28 зуба під очницю
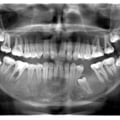
Не кваліфіковане ендодонтичне лікування 36 зуба, як наслідок - вихід пломбувального матеріалу за межі кореня та проникнення його в нижньоальвеолярний канал та розвитком стійкої парастезії
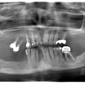
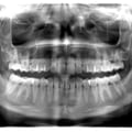
Повна ретенція 44 зуба. Не раціональне зубне протезування
11,21,22,23 зуба приймають участь в акті дихання
Пацієнт Ж (17 років) - дистопія 35
Пацієнт Б (21 рік) - первинна адентія 13,23
Пацієнт Б (14 років) - множинна ретенція прорізування постійних зубів. Наявність закладки 9-тих зубів
Жертва, або студентів, або інтернів, або не кваліфікованих стоматологів. Результат - нераціональне зубне протезування при генералізованому пародонтиті, виведення пломбувального матеріалу за межі кореня в гайморову порожнину
фіксація металевого штифта за межі кореня. Ендодонто-ендоосальна імплантація, або п'яний ендодонт )))
Новоутворення кісткової тканини міжментальної ділянки
П'яний ендодонт, або "краще більше ніж меньше" - надлишок пломбувального матеріалу успішно інтегрувався в товщі слизової гайморового синуса
Реставрація 12,22 - альтернатива ортодонтії ))) Консоль 16,37 - альтернатива імплантації )))
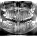
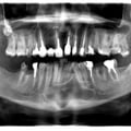
Хронічний періодонтит 36 зуба - не успішне ендодонтичне лікування
Privacy Policy | Sitemap
Since 2011 by Andrew Sarafinchan
Log in Log out | Edit
  • Scroll to top
Close